ご予約・お問い合わせ082-249-6481

初診専用WEB予約

point01
point02
point03
診療時間

当院の5つの特徴Feature

まこと歯科クリニックは、患者様の口内環境をトータルでお守りします。
専属のスタッフがしっかりとお話を伺い、患者様に納得・安心していただける治療に励んでいます。

  • Feature01

    一人ひとりのお口に合った治療計画をご提案

    治療に納得していただくために、しっかりとご説明いたします

  • Feature02

    できる限り痛みの無い治療

    細い注射針と電動注射器を用いて、できるだけ痛みを抑えます

  • Feature03

    CT・マイクロスコープ完備

    より詳しい検査、治療ができます

  • Feature04

    ご予約の患者様はお待たせしません

    スムーズなご案内で最適な治療時間を

  • Feature05

    感染予防の徹底

    感染症対策のために、高度な衛生状態で治療いたします

当院について詳しく見る

院長のご挨拶Greeting message

院長:平田 誠

患者様に最適な治療方法で
健康な口内環境と安心をお届けします

当院は「ご自分の歯を守ることを基本とした診療」を行っております。
「どうしたら歯を長持ちさせることができるか」
「今のお口の悩みをどうしたら解決できるか」
患者様ごとに適した治療方法を、専属のスタッフがご提案いたします。

確実性のある治療はもちろん、予防と治療後のメインテナンスには
さらに重点を置いています。
皆様が安心して通院できるような医院づくりを目指しています。

平田 誠

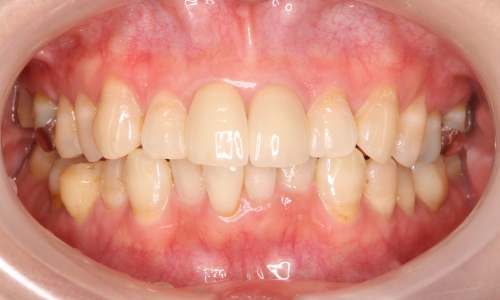
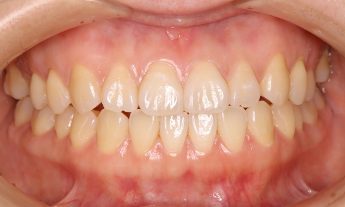
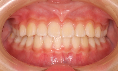
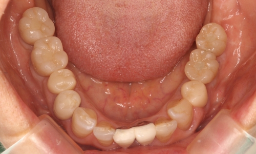
症例集Casebook

  • 根管治療

  • 小児矯正

  • インプラント

  • ダイレクトボンディング

症例集の一覧