ご予約・お問い合わせ082-249-6481

初診専用WEB予約

症例集

インプラント

50代男性 左下の奥歯へのインプラント治療

治療前
治療前
治療後
治療後
治療内容 左下の奥歯が無く、食事がうまくできないことを主訴に来院されました。
歯が無い箇所にインプラント治療を行うことで、奥歯でしっかりと噛めるようになり、食事がおいしくなったとのことです。
治療期間・回数 治療期間:約3ヶ月
通院回数:5回程度
治療費用(総額)

440,000

(時期や手法により異なる場合があります。)

副作用・リスク ・インプラント埋入手術直後は、不快感、痛みを感じることがあります。
・下顎のインプラントは下歯槽神経に障害を及ぼした場合、数か月の知覚異常が生じる場合があります。
・インプラント周囲炎(インプラントの歯周病)などのトラブルを防ぐため、定期的なメンテナンスを行う必要があります。

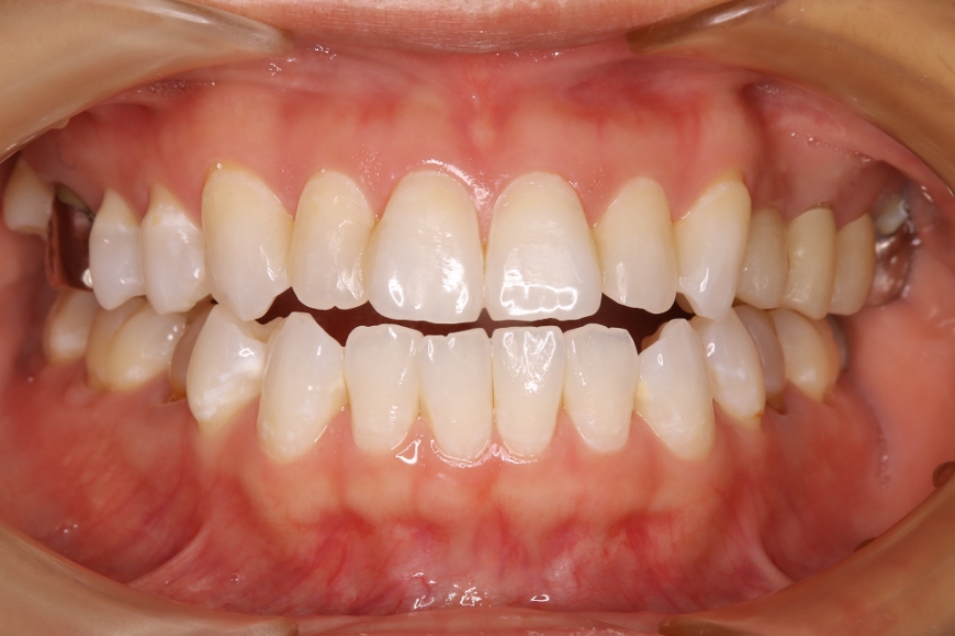
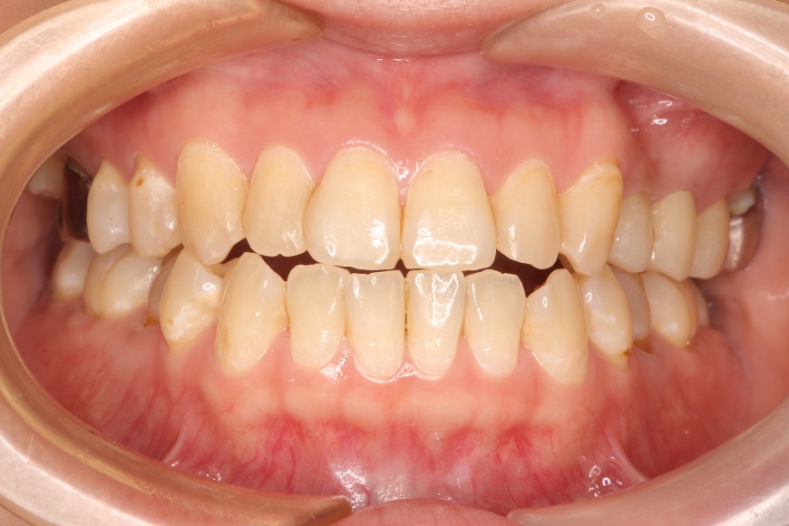
20代男性 上の前歯へのインプラント治療

来院時
来院時
治療前
治療前
治療後
治療後
治療内容 「前歯をきれいにしたい」との主訴で来院されました。
根っこが折れていたため抜歯後、「隣の歯は削りたくない」とのことでインプラント治療を希望されました。
インプラント予定部位の骨が少なく、歯ぐきも痩せていたので、GBR(骨造成)と結合組織移植(歯肉の移植)も施し、審美的な外観を整えました。
自然な感じの仕上がりとなり、患者様は、思いっきり笑うことができるようになりました。
治療期間・回数 治療期間:約10カ月
通院回数:10回程度
治療費用(総額)

560,000

(インプラント440,000円、GBR100,000円、結合組織移植20,000円。時期や手法により異なる場合があります。)

副作用・リスク ・インプラント埋入手術直後は、不快感、痛みを感じることがあります。
・インプラント周囲炎(インプラントの歯周病)などのトラブルを防ぐため、定期的なメンテナンスを行う必要があります。

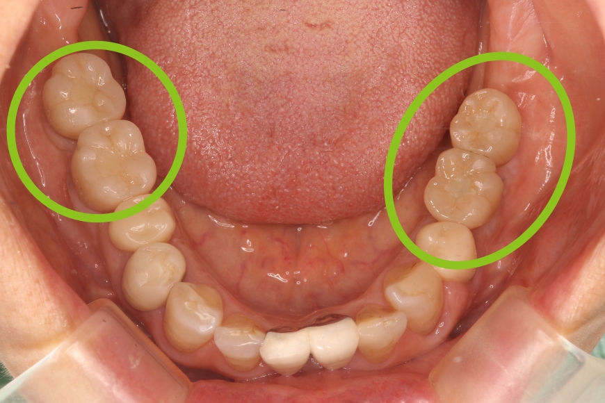
50代女性 左右の奥歯へのインプラント治療

治療前
治療前
治療後
治療後
治療内容 下の左右の奥歯が無く、食事がうまくできないことを主訴に来院されました。
左右の奥歯に2本ずつインプラント治療を行いました。奥歯でしっかりと噛めるようになりました。
治療期間・回数 治療期間:約6ヶ月
通院回数:10回程度
治療費用(総額)

1,760,000

(1本440,000円×4本分。時期や手法により異なる場合があります。)

副作用・リスク ・インプラント埋入手術直後は、不快感、痛みを感じることがあります。
・下顎のインプラントは下歯槽神経に障害を及ぼした場合、数か月の知覚異常が生じる場合があります。
・インプラント周囲炎(インプラントの歯周病)などのトラブルを防ぐため、定期的なメンテナンスを行う必要があります。

セラミック・ジルコニア

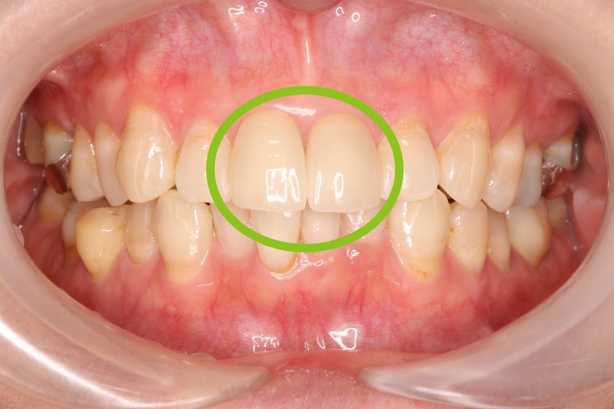
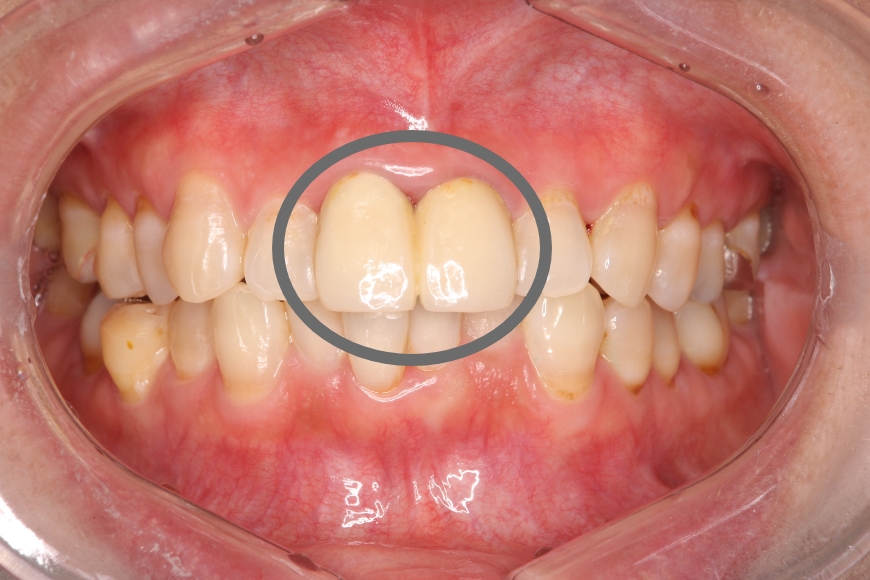
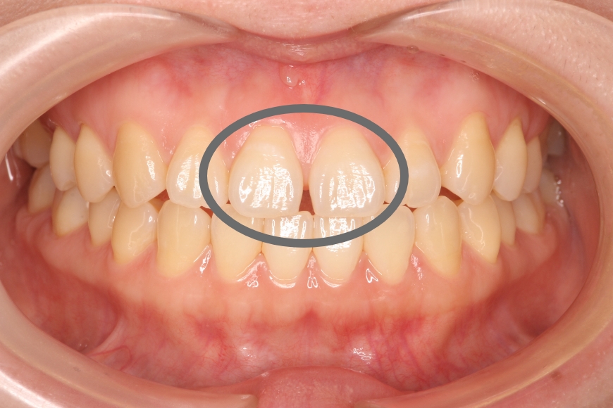
40代女性 上の前歯へのセラミック治療

治療前
治療前
治療後
治療後
治療内容 以前治療した前歯の形と色が気になるとのことで来院されました。金属の表面にプラスチックが張り付けてある保険診療の被せ物でした。
適正な形に修正し、質感・光沢・透明感に優れるセラミックの被せ物に変更しました。
治療期間・回数 治療期間:約1ヶ月程度
通院回数:約3回程度
治療費用(総額)

264,000

( 1本132,000円×2本分。時期や手法により異なる場合があります。)

副作用・リスク ・セラミックは、保険治療のプラスチックに比べ硬く耐久性がありますが、強い力が加わるとごくまれに割れたり欠けたりすることがあります。

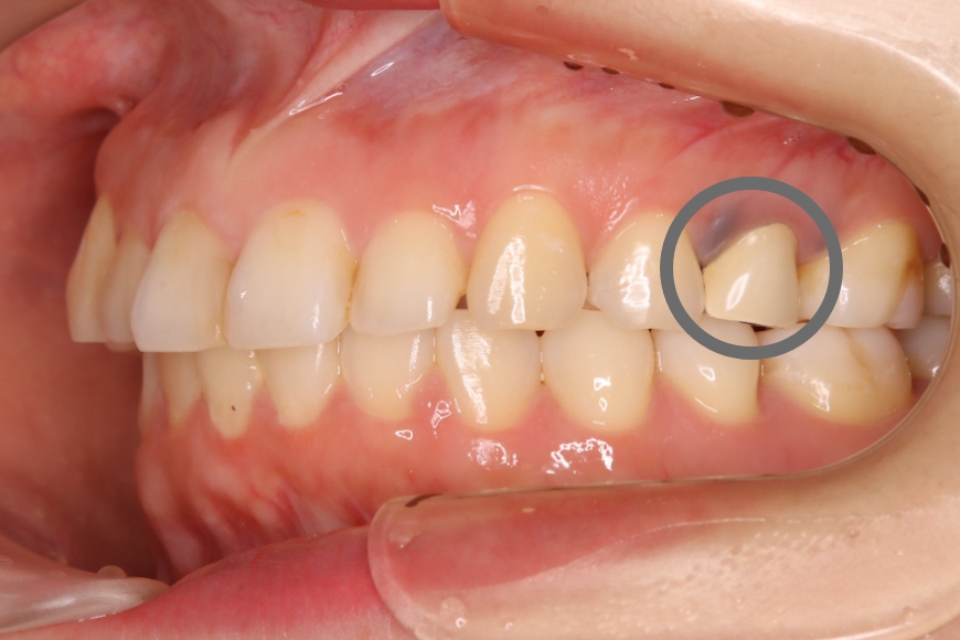
20代女性 上の奥歯へのジルコニア治療およびメタルタトゥーの除去

治療前①
治療前①
治療後①
治療後①
治療前②
治療前②
治療後②
治療後②
治療内容 奥歯の被せものをやり直したい、また、歯ぐきが黒くて気になるとのことで来院されました。
金属の被せの表面にプラスチックが張り付けてあり、また、使用している金属が溶け出し、歯ぐきが黒くなっていました(メタルタトゥー)。
装着してある全ての金属を除去後、歯ぐきのメタルタトゥーにレーザー照射を行い、健康なピンク色の歯ぐきを回復しました。その後、審美的および耐久性に優れるジルコニアの被せものを装着しました。
治療後は金属アレルギーのリスクがゼロとなり、メタルタトゥーが起こる心配もありません。
治療期間・回数 治療期間:約3ヶ月程度
通院回数:5回程度
治療費用(総額)

132,000

( ジルコニア 110,000円、メタルタトゥー除去1か所 22,000円。時期や手法により異なる場合があります。)

副作用・リスク ・ジルコニアは、保険治療のプラスチックに比べ硬く耐久性がありますが、強い力が加わるとごくまれに割れたり欠けたりすることがあります。
・メタルタトゥー除去後は、一時的な出血・腫脹・疼痛が生じる場合がまれにあります。
・喫煙や他の色素沈着因子により、再発の可能性があります。

小児矯正

8歳男児 歯並びをきれいにしたい(保護者より)

治療前
治療前
治療後
治療後
治療内容 「がたがたの歯を治したい」と保護者と共に来院されました。
スペース不足による叢生(ガタガタの状態)と、前歯の見栄えが悪い状態でした。
床矯正装置にて2年程度歯列拡大を行い、永久歯の萌出誘導を行い、きれいな歯並びを獲得しました。
治療期間・回数 治療期間:約3年
通院回数:25~30回程度(成長段階に合わせた調整含む)
治療費用(総額)

242,000

(調整料込、治療時の金額であり、時期や手法により異なる場合があります。)

副作用・リスク ・顎の成長後に後戻りが起こる可能性があります。
・予定より治療期間が長くなることがあります。
・2期治療(大人の矯正)に移行することがあります。

ダイレクトボンディング

35歳女性 ダイレクトボンディング修復

治療前
治療前
治療後
治療後
治療内容 銀歯の見た目が気になるとのことで来院されました。
ラバーダム防湿下で銀歯を除去後、専用のコンポジットレジンを充填し、形と色調を回復しました。
治療回数 通院回数:3回(1本に対して通院1回×3回)
治療費用(総額)

132,000

(1本44,000円×3本分。治療時の金額であり、時期や手法により異なる場合があります。)

副作用・リスク ・食事や喫煙で着色が起こる可能性があります。
・摩耗・破折・脱離が生じた場合、基本的には再充填・修理で対応可能です。
・大きく欠けた場合は、別の修復法を検討する必要があります。

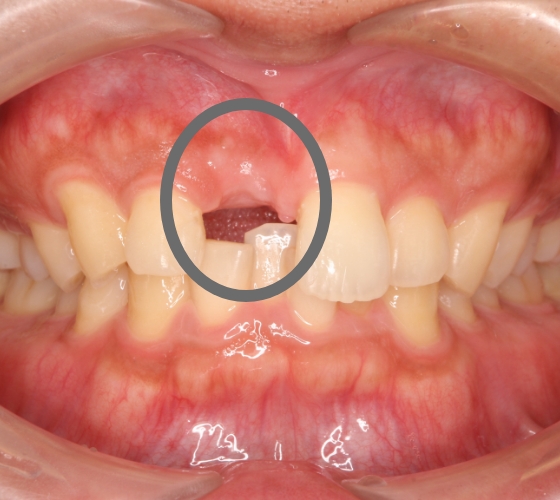
38歳女性 前歯正中離開に対するダイレクトボンディング

治療前
治療前
治療後
治療後
治療内容 前歯の「すきっ歯」が気になるとのことで来院されました。
矯正治療、セラミック治療、ダイレクトボンディング治療を提案しました。治療期間の短縮と歯質の保存を優先し、ダイレクトボンディングによる治療を選択されました。
ラバーダム防湿下で専用のコンポジットレジンを段階的に充填し形態・色調を再現しました。(歯を削っていません)
治療回数 通院回数:1回
治療費用(総額)

88,000

(1本44,000円×2本分。治療時の金額であり、時期や手法により異なる場合があります。)

副作用・リスク ・歯ぎしりや過度の咬合力により破折する可能性があります。
・時間の経過とともにわずかな着色や摩耗が生じるため、長期的には再調整や再充填が必要になる場合があります。

ホワイトニング

34歳女性 歯の色を白くしたい

治療前
治療前
治療後
治療後
治療内容 オーダーメイドのホワイトニングトレーとホワイトニングジェルを用い、3週間のホームホワイトニングを実施しました。
就寝時にトレーの装着を行い、自宅にてご自身で行っていただく方法です。
治療期間・回数 治療期間:約1ヶ月
通院回数:2~3回
治療費用(総額)

44,000

(治療時の金額であり、時期や手法により異なる場合があります。)

副作用・リスク ・ホワイトニング後に歯が一時的にしみる知覚過敏症状が出る場合があります。
・色戻りを防ぐため、カレーやコーヒーなど着色しやすい飲食物は控えめにし、定期的なメンテナンスをおすすめします。

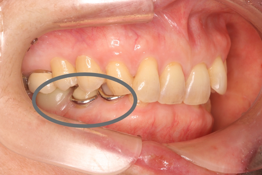
セレーブデンチャー(金属のばねが無い入れ歯)

60歳女性。ばねが目立たない入れ歯を作りたい。

治療前①
治療前①
治療後①
治療後①
治療前②
治療前②
治療後②
治療後②
治療内容 今までは入れ歯のばねが金属だったため、見た目が気になり大きな口を開けて話す事ができないので、入れ歯を作り変えてほしいとのことで来院されました。
相談した結果、金属のばねが無い入れ歯を作り直すことになりました。
治療期間 1カ月
治療費用(総額)

242,000

(治療時の金額であり、時期や手法により異なる場合があります。)

副作用・リスク ・保険適用外の入れ歯となります。
・薄くて軽く、また割れにくい素材ですが、割れないわけではありません。義歯の修理の際は、預かり修理が必要なこともあります。

根管治療

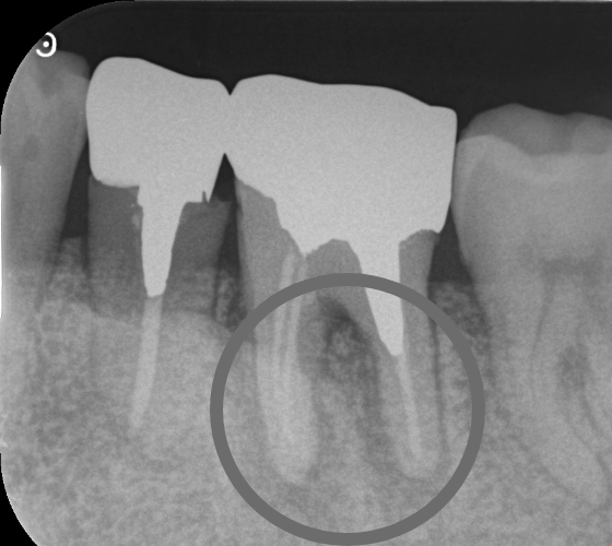
55歳男性 腫れて痛む

治療前
治療前
ラバーダム防湿下で根管治療中
ラバーダム防湿下で根管治療中
治療後
治療後
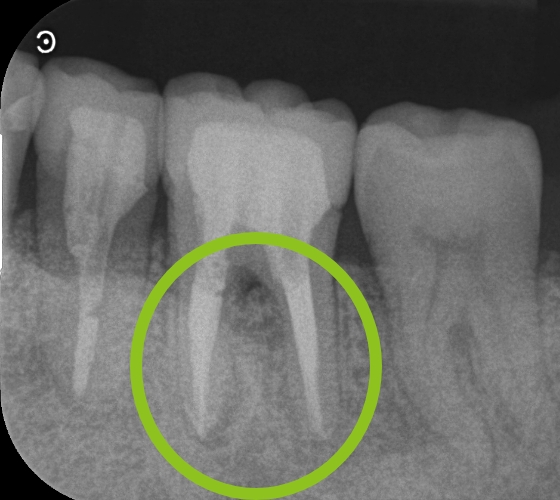
治療内容 以前他院で根管治療(根の治療)をした歯が、歯肉の腫れと排膿(膿が出る)や痛みが再発した症例です。
レントゲン写真で根尖部(根の先)に明らかな透過像(病変)を認めたため、再根管治療(根の治療)を行いました。
マイクロスコープ(顕微鏡)を用いて、ラバーダム防湿下で根管内を徹底洗浄・消毒後、根管を緊密に再封鎖しました。
治療後は腫れや痛みが速やかに消失し、レントゲン上でも根尖部(根の先)の透過像(病変)が著しく縮小したのを確認しました。
治療回数 2~5回
治療費用(総額)

保険治療でおおよそ2,000〜5,000

(根管治療のみ。被せ物は別途かかります。治療時の金額であり、時期や手法により異なる場合があります。)

副作用・リスク ・感染の再発により、再治療または外科的手術が必要となる可能性があります。